ich wollte schon seit längerem über meine krankheit schreiben und da ich heute nichts großartiges zu tun habe, tu ichs jetzt mal.
außerdem beschäftigt mich es im moment, weil ich befürchte, dass es schlimmer geworden ist.
nun denn - ich hab
skoliose.

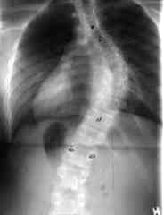
das ist eine verkrümmung der wirbelsäule. kann man sich am besten s-förmig vorstellen. es gibt verschiedene fomen der wirbelsäule: nach rechts, nach links, 2-bögig, 3-bögig, 4-bögig, nach hinten nach vorne etc.
ich hab häufigste form. nämlich 3-bögig nach rechts (siehe bild).
außerdem hab ich einen "flachrücken". das ist des gegenteil von kyphose bzw. einem rundrücken/buckel.
von der seite betrachtet, sieht meine wirbelsäule also aus wie ein gerader strich, anstatt s-förmig (wie es sein sollte).
dafür bin ich von hinten s-förmig ;)
es gibt verschiedene "härtegräde" der skoliose ;)
die stärke der krankheit misst man in grad (°).
0° wäre ideal - keine skoliose; gibts aber selten. ab 10° spricht man von skoliose. ich hab mit meinen 50° im hauptbogen schon ne mittelschwere skoliose. wobei es mit über 100° aber weitaus heftiger geht.
zum größten teil sind weibliche wesen von dem übel betroffen.
woher es kommt weiß man in den meisten fällen nicht.
die typische skoliose entsteht meistens in der frühen pubertät; so im alter von 10-12 jahren.
meine hat man etwa entdeckt, als ich 14 war.
normalerweise entwickelt sich die krankheit eher langsam.
ich weiß nicht wie das möglich ist, aber ich behaupte, dass meine skoliose über den winter 01/02 entstanden ist.
im frühjahr stand ich in einer umkleidekabine im p&c in wiesbaden, hab mich um rückenspiegel betrachtet und wäre vor schreck fast zusammengeklappt.
da wars auf einmal da. sah heftig aus. und ich wusste nicht was es ist.
meine mom, der es ein paar wochen später auffiel, wusste es auch nicht.
ich hab geglaubt, dass es von allein weggeht und deshalb bin ich erst ein halbes jah später zum orthopäden gegangen.
diagnose: ideopathische skoliose; 50° oben, 37° unten; krankengymnastik; korsettbehandlung; stationärer aufenthalt.
der arzt meinte, er könne sich nicht erinnern je eine patientin mit so schwerer skoliose gesehen zu haben. ich war total fertig. wo ich doch eh son wrack war, da zu der zeit meine mom ausgezogen ist.
wenn man die skoliose frühzeitig entdeckt, kann man sie noch relativ gut mit krankengymnastik behandeln, aber mit ende des wachstums konzentriert man sich eher darauf, dass es es nicht schlimmer wird.
mit meinen 14 jahren war ich schon relativ spät dran.
zur korsettbehandlung:
es gibt unterschiedliche corsagen.
(
https://milwaukee.brace.nu/Gallery.html )
mit korsett ist nicht etwa ein schönes klassisches schnürkorsett gemeint, sondern ein großes hartes unförmiges aus plastik, dass die wirbelsäule in die richtige position drücken soll.
ich bin mit meinem erstaunlich gut zurecht bekommen.
es hatte sogar einen namen - elisabeth^^.
ich musste es 23 stunden am tag tragen. die nächsten par jahre bis zum ende des wachstums. eine stunde durfte ich es für körperpflege oder sport ausziehen.
die leute wundern sich dann immer, dass man darin schlafen kann. wobei das doch das geringste übel ist. daran gewöhnt man sich.
so ein teil den ganzen tag über zu tragen, in der schule, in der öffentlichkeit - das ist das schlimme.

wenn die andern mädels anfangen mit ihren bauchfreien tops rumzulaufen, versucht man verzweifelt unter weiten t-shirts die komischen dellen zu verstecken, die da rausstehen.
in der pubertät, wo man mit den jungs anfängt und seinen körper entdeckt. und mich durfte niemand anfassen - berührungsängste.
[die krankheit war wohl auch ein grund, warum ich in spätzünder war]
die sommer waren am schlimmsten. ich war allein und ich hab geschwitzt in dem teil.
heute wundere ich mich, dass ich nicht krank geworden bin. keine depressionen bekommen hab. klar hab ich oft geflucht und so, aber ich habs lieb getragen.
mir hat wohl auch der aufenthalt in der klinik geholfen.
(
https://www.asklepios.com/BadSobernheim/ )
5 wochen war ich da und hab viele liebe mädels kennengelernt, die genauso rumgelaufen sind wie ich.
später hab ich mein korsett immer seltener getragen. in der kur hatte ich ein neues bekommen, weil das alte, dass ich 1 jahr lang [umsonst] getragen hab, falsch war und nicht geholfen hat. das hat mir wohl den mut genommen. meine skoliose hat sich bis heute insgesamt kaum verbessert. höchstens um 5°.
heute zieh ich das korsett vielleicht alle 2 wochen für eine stunde an. mehr schaff ich nicht.
wie ich das damals ausgehalten hab, ist mir ein rätsel; ich würds nie wieder schaffen.

ab 50° fängt man an zu operieren. der eingriff ist aber ziemlich komliziert, relativ riskant und schmerzhaft. wochenlang im krankenhaus. liegend. nein danke, so verzweifelt bin ich noch nicht gewesen auch wenn ich schon an manchem verzweifelten sommertag mit dem gedanken gespielt hab.
rückenschmerzen treten bei skoliosepatienten mit ner krümmung unter 100° nicht häufiger auf, als bei "normalen" leuten. kaum zu glauben, finde ich.
einen bandscheibenvorfall darf ich aber wohl irgendwo in meine zukunft einplanen.

das schlimme ist aber eher das optische.
auch wenn man nicht übermäßig viel wert auf sein äußeres legt, leidet man doch ziemlich darunter.
man siehts und es sieht komisch aus. ich geh nicht gern einkaufen und ein besonders großer fan vom sommer bin ich immernoch nicht.
mein leben lang wird mich diese wirbelsäule tragen.
aber ich hab gelernt damit klarzukommen. =)
links:
https://de.wikipedia.org/wiki/Skoliose
https://www.onmeda.de/krankheiten/skoliose.html
https://www.skoliose-info-forum.de/
mamani - 4. Feb, 16:41